Стоматологический блог - Doctor Dent

Блог

Почему болит зуб без видимой причины

27.04.2026

Иногда зуб начинает болеть внезапно - без сколов, травм или очевидных повреждений. Вроде бы всё было нормально, и вдруг появляется ноющая или резкая боль в зубах, которая мешает есть, спать и вообще нормально жить. Знакомо? На самом деле таких «беспричинных» ощущений не бывает. Просто причина не всегда лежит на поверхности

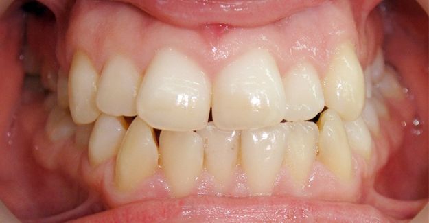
Почему зубы снова смещаются после брекетов

20.01.2026

Завершение ортодонтического лечения не означает окончательную и мгновенную фиксацию результата. Нередко пациенты замечают, что зубы смещаются после брекетов, поскольку их адаптация на новом месте продолжается ещё некоторое время после активного этапа лечения.

Как понять, что пломбу нужно менять

18.12.2025

Пломба - это не вечная конструкция. Ее устанавливают во время лечения кариеса, она отлично восстанавливает зуб и может служить много лет, но со временем любой материал теряет прочность, изменяет форму, перестает плотно прилегать к стенкам зуба или появляются трещины на пломбе. И хотя конструкции разрушаются не в один день, изменения в них происходят постепенно, поэтому важно знать, когда стоит обратить внимание на состояние зубов.

Почему кариес прогрессирует даже при регулярной чистке зубов

05.12.2025

Для многих пациентов становится неожиданностью, что кариес при хорошей гигиене также может развиваться. Однако стоит учитывать, что чистка зубов дома - лишь элемент защиты.

Почему регулярная чистка у стоматолога важнее, чем кажется

02.10.2025

Многие пациенты уверены: для полноценной гигиены полости рта достаточно чистить зубы дважды в день. На самом деле даже самый тщательный самостоятельный уход не сможет полностью защитить зубы и дёсны: в труднодоступных местах скапливается налет, который превращается в камень. 

Что будет, если не лечить зубы вовремя?

29.08.2025

Многие откладывают визит к стоматологу: кто-то боится боли, кто-то считает лечение дорогим, а кто-то просто не находит времени. Но зубные болезни не проходят сами. Если не лечить их вовремя, маленькая проблема превращается в серьезные последствия для здоровья, внешности и кошелька.

Контакты
Адреса клиник
отзывы наших
довольных клиентов
Подписывайтесь на наши
социальные сети и следите за нами!
instagram Whatsapp Phone